Foram encontradas 708 questões.
Homem de 69 anos foi levado ao Hospital terciário por hemiparesia esquerda, disartria e desvio de rima para a direita que iniciou há 2 horas. É hipertenso de longa data, tabagista e, há 1 ano, foi diagnosticado com diabetes mellitus. Na admissão, encontrava-se alerta e orientado, pouco agitado, olhando em todas as direções, mas obedecia a comandos como abrir e fechar os olhos, ou apertar e soltar com a mão direita. Contava dedos e apresentava apagamento de sulco nasolabial esquerdo, com desvio de rima ao sorrir ou falar. Membros superior e inferior esquerdos tinham queda parcial antes de 10 segundos, mas não chegavam a tocar a cama. O paciente não sentia dor em todo hemicorpo esquerdo ao ser picado com uma agulha, mas sentia o toque. Realizou teste index-nariz e calcanhar-joelho bilateralmente. Leu frases e identificou objetos, porém, sua voz estava arrastada em algumas palavras. PA da admissão de 170/95mmhg e glicemia capilar de 101mg/Dl. TC de crânio não demonstrava sinais de sangramento. Frente a esse paciente, assinale a alternativa correta.
Provas
Uma lesão do núcleo subtalâmico é a causa mais provável de qual dos seguintes sinais/sintomas?
Provas
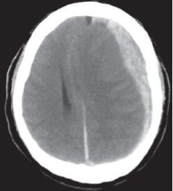
Um homem de 77 anos foi levado ao prontosocorro pelo Serviço de Atendimento Móvel de Urgência, sem resposta, após uma queda de mesmo nível. Na admissão, estava sonolento, não obedecia a comandos e apresentava paralisia de 3º nervo craniano esquerdo, com midríase. Ele tinha histórico de fibrilação atrial. A seguir está sua Tomografia Computadorizada de crânio. Qual das seguintes alternativas corresponde à melhor intervenção terapêutica?

Provas
Homem de 34 anos procura atendimento devido a aumento da frequência e da intensidade de suas dores de cabeça. Sua dor é do tipo pressão, em faixa ao redor da cabeça. Inicialmente, apresentava cefaleia uma vez por semana, mas, atualmente, apresenta dor diariamente, sem náusea, fonofobia ou fotofobia associadas. Nos últimos 3 meses, ele precisou de até quatro doses de paracetamol e ibuprofeno por dia, com menos alívio da dor ao longo do tempo. Ele relata altos níveis de estresse no trabalho nos últimos anos e menos tempo para dormir. Seus exames neurológicos e oftalmológicos são normais. Qual das alternativas a seguir mostra a conduta inicial mais adequada para esse paciente?
Provas
Para qual dos seguintes tumores um indivíduo com Neoplasia Endócrina Múltipla tipo 1 (NEM1) deve ser monitorado?
Provas
Uma mulher de 60 anos procura o prontosocorro com quadro de febre há 3 dias, seguido de vertigem aguda e constante, náuseas e perda auditiva à direita. Qual é a etiologia mais provável?
Provas
Em relação à Síndrome de Rett, assinale a alternativa correta.
Provas
Paciente de 80 anos, diabético, hipertenso e com revascularização do miocárdio há 10 anos, chega ao centro cirúrgico para cirurgia de urgência, colecistectomia devido à colecistite aguda. Após a indução da anestesia, evolui para taquicardia de complexo estreito com instabilidade. Qual é a conduta para esse caso?
Provas
Gestante, 40 anos, tabagista, segunda gestação, com 36 semanas e doença hipertensiva da gestação, chega no centro obstétrico com contração uterina sustentada e grande sangramento via vaginal, levando à instabilidade hemodinâmica. Quais são a hipótese diagnóstica e a conduta?
Provas
Em muitos procedimentos anestésicos cirúrgicos, é possível observar o reflexo de Bezold-Jarisch. Sobre sua fisiopatologia, é correto afirmar que
Provas
Caderno Container