Foram encontradas 50 questões.
Um paciente de 82 anos de idade, com antecedente de hipertensão e demência em investigação, foi admitido no pronto-socorro com quadro de confusão mental e hiponatremia de 110 mEq/l. São de uso contínuo do paciente as seguintes medicações: quetiapina; hidroclorotiazida; fluoxetina; e anlodipino.
Assinale a alternativa que apresenta todas as medicações associadas à hiponatremia de uso do paciente.
Provas
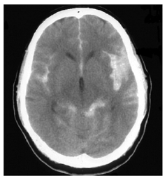
Uma paciente de 34 anos de idade procurou o serviço de emergência com quadro de cefaleia de forte intensidade, associado à rigidez de nuca e a vômitos há uma hora.
Realizou a tomografia de crânio mostrada a seguir.

Com base nesse caso hipotético, assinale a alternativa correta.
Provas
A insuficiência cardíaca aguda é uma condição heterogênea cujo manejo pode variar de acordo com a apresentação clínica principal. A abordagem inicial demanda a busca das causas ou etiologias da insuficiência cardíaca aguda. Para tanto, a Sociedade Europeia de Cardiologia organizou as causas no acrônimo CHAMPIT.
Sendo assim, assinale a alternativa que apresenta as principais causas de insuficiência cardíaca aguda.
Provas
Um paciente procurou o serviço de emergência com quadro de dor torácica típica e foi encaminhado para o setor de hemodinâmica. O procedimento evidenciou lesão coronariana única, representada nas imagens a seguir, antes (A) e após (B) o tratamento da lesão.

Com base nesse caso hipotético, assinale a alternativa que apresenta as alterações encontradas no eletrocardiograma da admissão do paciente.
Provas
Um paciente de 62 anos de idade, com antecedente de arritmia de longa data, procurou o pronto-socorro com relato de palpitações há dois dias. Na admissão, apresentava-se com frequência cardíaca de 140 bpm, frequência respiratória de 18 ipm e pressão arterial de 140 x 80 mmHg. Ao exame, vigil e orientado, bom estado geral, sem sinais de desconforto respiratório, ausculta respiratória normal e tempo de enchimento capilar de 2 segundos.
Realizou o eletrocardiograma mostrado a seguir.

Com base nesse caso hipotético e considerando que, após avaliação, a equipe médica tenha optado por terapêutica com controle de frequência ventricular, assinale a alternativa que apresenta a terapia de escolha.
Provas
A doença observada principalmente durante o verão na cidade de São Paulo, caracterizada por insuficiência renal aguda não oligúrica e hipopotassêmica, é a
Provas
Um paciente apresenta-se, pela escala de performance paliativa (PPS), totalmente acamado, incapacitado para atividades laborativas, com doença extensa, dependência completa, ingestão limitada a colheradas e períodos de confusão mental.
Com base nesse caso hipotético, é correto afirmar que o prognóstico do paciente é de sobrevida inferior a
Provas
Um paciente portador de doença crônica, evolutiva e progressiva, recebeu um prognóstico de vida de meses.
Com base nesse caso hipotético, é correto afirmar que o paciente é elegível para
Provas
Define-se febre de origem indeterminada (FOI) clássica a presença de temperaturas axilares maiores que 37,8 °C, medidas em várias ocasiões, domiciliarmente, por, no mínimo,
Provas
Durante o processo do envelhecimento humano, são observadas mudanças da composição corporal como o(a)
Provas
Caderno Container