Foram encontradas 40 questões.
Quanto ao tipo de luvas indicada para o manuseio de substâncias
químicas assinale a alternativa CORRETA.
Provas
Questão presente nas seguintes provas
Quanto aos métodos utilizados para esterilização de material assinale a
alternativa correta.
Provas
Questão presente nas seguintes provas
Sobre o processo de limpeza de materiais assinale a alternativa
INCORRETA:
Provas
Questão presente nas seguintes provas
Sobre a leitura do menisco assinale a alternativa CORRETA.
Provas
Questão presente nas seguintes provas
Quanto às vidrarias utilizadas em laboratório assinale a alternativa
CORRETA.
Provas
Questão presente nas seguintes provas
A coleta de imunohistoquímica para chikungunya deve ocorrer logo após o
óbito, ou dentro das primeiras 8 horas e no máximo 24 horas após o óbito.
Sobre o acondicionamento e transporte dessa coleta é CORRETO afirmar:
Provas
Questão presente nas seguintes provas
Sobre a coleta de secreção uretral, marque a alternativa INCORRETA.
Provas
Questão presente nas seguintes provas
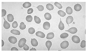
As hemácias representadas na imagem abaixo caracterizam:

Provas
Questão presente nas seguintes provas
Os leucócitos são células nucleadas, presentes no sangue circulante. São
incolores, dotados de movimento ameboide, fagocitose e diapedese. Estão
relacionados com as defesas celulares e imunocelulares do organismo. Faz
parte do grupo de leucócitos granulócitos, EXCETO:
Provas
Questão presente nas seguintes provas
Relacione as colunas abaixo e em seguida marque a sequência
CORRETA.
I. Método de Faust
II. Método de Hoffman
III. Método de Willis
IV.Método de Ritchie
( )Sedimentação espontânea.
( )Sedimentação por centrifugação.
( ) Centrífugo-flutuação.
( ) Flutuação.
I. Método de Faust
II. Método de Hoffman
III. Método de Willis
IV.Método de Ritchie
( )Sedimentação espontânea.
( )Sedimentação por centrifugação.
( ) Centrífugo-flutuação.
( ) Flutuação.
Provas
Questão presente nas seguintes provas
Cadernos
Caderno Container