Foram encontradas 820 questões.
Disciplina: Medicina
Banca: UNIOESTE
Orgão: Pref. Santo Antonio Platina-PR
Paciente masculino, 20 anos, sofreu queimaduras de segundo e terceiro graus em 60% da superfície corporal após explosão de botijão de gás. Recebeu reposição volêmica inicial, analgesia potente e cuidados com a pele. Foi monitorizado em sala de emergência. PA 90x50mmhg, FC 120bpm, Sat 92% com CNO2 3l/min, FR 26irpm, T 39,5ºC. Hemograma com 20.000 leucócitos/mm3 e 10% de bastões. O diagnóstico sindrômico mais provável nesse caso é de:
Provas
Disciplina: Medicina
Banca: UNIOESTE
Orgão: Pref. Santo Antonio Platina-PR
Sobre as medicações utilizadas na sequência rápida de intubação (SRI), é INCORRETO afirmar:
Provas
Disciplina: Medicina
Banca: UNIOESTE
Orgão: Pref. Santo Antonio Platina-PR
O choque tem como definição o desbalanço entre oferta e consumo de oxigênio pelos tecidos, causado por alterações circulatórias, diminuindo a perfusão tecidual. Sobre os diversos tipos de choque, é CORRETO afirmar:
Provas
Disciplina: Medicina
Banca: UNIOESTE
Orgão: Pref. Santo Antonio Platina-PR
Paciente masculino, 82 anos, hipertenso e diabético em uso de AAS, sinvastatina, captopril, clopidogrel e metformina, é levado ao PS de um hospital de referência por quadro de hemiplegia completa à esquerda e afasia. A filha do paciente diz que, às 2h da manhã, ouviu um barulho no quarto e o encontrou caído ao lado da cama com um sangramento em região frontal por um corte (acha que bateu na quina da mesa de cabeceira, que estava suja com sangue).
O paciente foi visto bem pela última vez às 23h do dia anterior, quando foi se deitar. Apresenta histórico de acidente automobilístico há 20 anos, com necessidade de drenagem de hematoma subdural, cateterismo coronariano há 3 meses sem angioplastia e ressecção de tumor de cólon direito há 1 ano. Deu entrada no PS às 3h da manhã, sua pressão arterial era de 180x100 e o HGT 100mg/dl.
Sobre esse caso, qual é a conduta mais indicada?
Provas
Disciplina: Medicina
Banca: UNIOESTE
Orgão: Pref. Santo Antonio Platina-PR
Um senhor de 80 anos foi levado pelo filho ao pronto atendimento após ter sido encontrado na cama com dificuldade para despertar. Chega sonolento e torporoso (Glasgow 6) com PA 200x140mmHg. O emergencista procedeu à intubação para proteção de vias aéreas e solicitou uma tomografia que evidenciou importante hemorragia intraparenquimatosa à esquerda, com sinais de hipertensão intracraniana e desvio de linha média. Qual das condutas a seguir não é indicada?
Provas
Disciplina: Medicina
Banca: UNIOESTE
Orgão: Pref. Santo Antonio Platina-PR
Correlacione as condições clínicas a seguir com os agentes etiológicos das pneumonias bacterianas:
I - HIV com CD4 baixo
II - Alcoolismo com má higiene oral
III - Ventilação mecânica
IV - Síndrome gripal
V - DPOC
--------------------------------------------------
A - Bactérias anaeróbias
B - Mycoplasma pneumoniae
C - Pneumocystis jiroveci
D - Influenza
E - Bacilos gram negativos entéricos
Provas
Disciplina: Medicina
Banca: UNIOESTE
Orgão: Pref. Santo Antonio Platina-PR
Em atendimento a uma parada cardiorrespiratória, você executa uma desfibrilação. O que deve fazer em seguida?
Provas
Disciplina: Medicina
Banca: UNIOESTE
Orgão: Pref. Santo Antonio Platina-PR
Paciente com IAM com supra de ST em D2, D3 e avF é admitido com hipotensão (PA 80x40 mmHg), porém, sem dispneia, FC = 64 bpm. Feito ECG com derivações V3R e V4R, que mostraram supra de ST. Qual é a terapêutica inicial?
Provas
Disciplina: Medicina
Banca: UNIOESTE
Orgão: Pref. Santo Antonio Platina-PR
Um homem de 30 anos sofreu um acidente automobilístico e, em instantes após dar entrada na sala de emergência hospitalar, recebeu diagnóstico de pneumotórax hipertensivo. A primeira abordagem recomendada é:
Provas
Disciplina: Medicina
Banca: UNIOESTE
Orgão: Pref. Santo Antonio Platina-PR
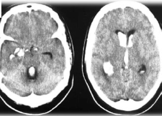
Paciente feminina, 60 anos, levada ao PS por cefaleia súbita, seguida de sonolência, confusão mental e hemiplegia esquerda. A Tomografia foi realizada e apresentou os seguintes achados:

Sobre o caso descrito, assinale a alternativa CORRETA:
Provas
Caderno Container