Foram encontradas 50 questões.
Uma das maiores dificuldades no tratamento do mal de Alzheimer, uma das mais graves doenças neurodegenerativas que se conhece, é saber quando ele começa. Isso significa descobrir em que momento da vida essa enfermidade, caracterizada pela perda da memória e pela demência, inicia o seu processo de desenvolvimento e de aniquilamento gradual e irreversível do cérebro.

Acerca dessa patologia, assinale a opção correta.
Provas
Uma mulher de 33 anos de idade, com crises de cefaléia não-responsivas a dipirona, procura um ambulatório de clínica geral e relata ao médico que tem tido nas últimas semanas visões de "bolas de fogo e raios". O esposo que a acompanha relata que, na semana anterior, ela "virou os olhos e a cabeça, e ficou tremendo a hemiface e braço direitos". Nos exames laboratoriais ficou evidenciada glicemia, em jejum, de 420 mg/dL.
Assinale a opção que apresenta a hipótese diagnóstica mais provável e a conduta mais adequada a ser adotada imediatamente no caso hipotético acima.
Provas

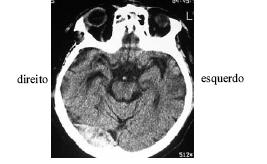
Após ter sofrido queda de um cavalo, um senhor de 55 anos de idade foi levado imediatamente ao pronto-socorro, onde se verificou, além das escoriações no corpo, pequeno hematoma subgaleal em região temporoparietoccipital direita. Foi medicado com analgésicos e antiemético. Após vinte minutos, os sintomas foram aliviados e o paciente solicitou alta hospitalar. O clínico geral solicitou o parecer do neurologista visto que os socorristas relataram perda de consciência, fato negado pelo paciente. Passadas 4 horas do trauma, o paciente mostravase inquieto, mas negava cefaléia ou náuseas. Foi levado para realização de tomografia computadorizada, cujo resultado é mostrado na figura acima. Na presença do neurologista, o paciente solicitou alta hospitalar, informando que morava a apenas 25 km do hospital e voltaria se houvesse piora. Diante de situação como a apresentada, após analisar o exame de imagem e o caso clínico, o neurologista deve
Provas
Um morador de rua, etilista e epiléptico de longa data, com aproximadamente 50 anos de idade, foi levado ao pronto-socorro após ter apresentado uma convulsão. Ao ser admitido, notaram-se higiene precária e hálito alcoólico ausente. O paciente começou a verbalizar e apresentar discurso confuso, não apresentava deficit de força e não conseguia deambular por desequilíbrio intenso. Negava náuseas e cefaléia. Mesmo com apoio bilateral, a marcha era oscilante para os lados (marcha ebriosa). Tinha sutil tremor de extremidades em membros superiores e discreto estrabismo convergente. Ao exame físico, foram evidenciadas extremidades frias, descamação em mãos e pés e edema em membros inferiores.
Diante desse quadro hipotético, assinale a opção que apresenta o possível diagnóstico e a conduta mais adequada a ser tomada.
Provas
Considerando-se que efeitos colaterais são esperados em determinadas drogas antiepilépticas, é correto afirmar que
Provas
Texto para as questões 35 e 36
Uma senhora de 55 anos de idade, viúva, diabética e hipertensa, deu entrada no pronto-socorro após ter desmaiado em sua casa. O seu neto de 9 anos de idade informou que viu a avó cair da própria altura enquanto ela ia se contorcendo, tendo, depois, se debatido no chão e não acordado mais. Ao exame inicial, a paciente apresentava-se não-responsiva aos comandos verbais, movimentava os membros esquerdos, mas só retirava os membros direitos aos estímulos dolorosos (sem postura patológica). Foi verificada anisocoria sutil, com a pupila esquerda maior que a direita. A família referiu ao clínico geral que a paciente estava cada vez mais confusa nas últimas semanas, e atribuiu tal fato aos descuidos da paciente com o diabetes.

Considere que a paciente referida no texto, ao se encontrar estável, tenha sido submetida a uma ressonância nuclear magnética com contraste, cujo resultado é mostrado na figura acima. Diante do quadro clínico em tela, assinale a opção acerca da conduta mais adequada em relação a essa paciente.
Provas
Texto para as questões 35 e 36
Uma senhora de 55 anos de idade, viúva, diabética e hipertensa, deu entrada no pronto-socorro após ter desmaiado em sua casa. O seu neto de 9 anos de idade informou que viu a avó cair da própria altura enquanto ela ia se contorcendo, tendo, depois, se debatido no chão e não acordado mais. Ao exame inicial, a paciente apresentava-se não-responsiva aos comandos verbais, movimentava os membros esquerdos, mas só retirava os membros direitos aos estímulos dolorosos (sem postura patológica). Foi verificada anisocoria sutil, com a pupila esquerda maior que a direita. A família referiu ao clínico geral que a paciente estava cada vez mais confusa nas últimas semanas, e atribuiu tal fato aos descuidos da paciente com o diabetes.
Considerando as informações acima e a conduta a ser tomada em relação à paciente em apreço, assinale a opção incorreta.
Provas
A doença de Parkinson é patologia degenerativa que acomete o sistema nervoso por volta da 5. a década de vida e apresenta evolução progressiva. Os pacientes portadores dessa doença apresentam um quadro clínico que consiste em
I marcha em bloco e tremor em repouso.
II bradicinesia e instabilidade postural.
III tremor em repouso e coréia.
IV instabilidade postural e atetose.
V balismo e fáscies em máscara.
Estão certos apenas os itens
Provas
Uma jovem de 32 anos de idade, cabeleireira, vai a um ambulatório de neurologia encaminhada pelo clínico geral, com história de emagrecimento (12 kg em oito meses), dificuldade para engolir e fraqueza aos esforços. Ao exame, a paciente apresenta voz anasalada, que fica mais acentuada ao final da narração de seus sintomas.
A partir das informações acima, é correto suspeitar-se de
Provas
Texto para as questões 31 e 32
Um pedreiro de 47 anos de idade foi internado em prontosocorro queixando-se de dor em região dorsal e fraqueza nos membros inferiores. O paciente informou que o quadro álgico havia iniciado havia mais de oito meses e a fraqueza havia mais de trinta dias. Procurou o pronto-socorro por ter ficado, na semana anterior, com as pernas paralisadas. Durante anamnese foi identificado constipação, retenção urinária, disfunção erétil, episódios de febre vespertina havia três meses e etilismo crônico de 20 anos. Por meio de exame neurológico, constatou-se nível sensitivo em T5, paraparesia de predomínio distal, pior à direita, reflexos vivos, com clônus de pé direito e reflexo cutâneo-plantar em extensão, bilateralmente.
Na situação apresentada, devem ser solicitados exames complementares de
Provas
Caderno Container