Foram encontradas 272 questões.
Leia o caso a descrito a seguir para responder às questões 37 e 38.
Homem de 28 anos, sem comorbidades e com uma dose prévia da vacina para Covid-19 teve episódio gripal moderado e com RT-PCR positivo para Covid. Após o isolamento adequado e boa evolução, teve quadro súbito de dor no peito em pontada, localizada e com dispnéia. Ao exame, apresentava-se com FR = 32irm, FC 100bpm, PA 140x90mmHg, Sat 90%. O ECG realizado foi o seguinte:

Com base no diagnóstico correto, qual deve ser o próximo procedimento a ser adotado?
Provas
Leia o caso a descrito a seguir para responder às questões 37 e 38.
Homem de 28 anos, sem comorbidades e com uma dose prévia da vacina para Covid-19 teve episódio gripal moderado e com RT-PCR positivo para Covid. Após o isolamento adequado e boa evolução, teve quadro súbito de dor no peito em pontada, localizada e com dispnéia. Ao exame, apresentava-se com FR = 32irm, FC 100bpm, PA 140x90mmHg, Sat 90%. O ECG realizado foi o seguinte:

De acordo com os dados apresentados, a principal hipótese diagnóstica é de
Provas
Leia o caso clínico que segue para responder às questões de 32 a 36.
Um jovem médico resolve fazer, pela primeira vez, um plantão noturno na emergência. Na madrugada, uma senhora de 75 anos, hipertensa e diabética dá entrada com queixa de dispneia e taquicardia. Ao exame clínico, observou-se FC = 122 bpm, PA = 140x90mmHg, ausculta pulmonar limpa, discreto edema de membros inferiores e Sat. O2 95%. Trouxe um ecocardiograma recente que mostrou diâmetro ventricular esquerdo normal, aumento discreto de átrio esquerdo, hipertensão pulmonar discreta e FEVE = 62%.
O médico solicitou os seguintes exames a seguir:


De acordo com os diagnósticos (eletrocardiográfico e clínico) corretos, quais medicações devem ser prescritas para reduzir o risco de eventos cardiovasculares maiores?
Provas
Leia o caso clínico que segue para responder às questões de 32 a 36.
Um jovem médico resolve fazer, pela primeira vez, um plantão noturno na emergência. Na madrugada, uma senhora de 75 anos, hipertensa e diabética dá entrada com queixa de dispneia e taquicardia. Ao exame clínico, observou-se FC = 122 bpm, PA = 140x90mmHg, ausculta pulmonar limpa, discreto edema de membros inferiores e Sat. O2 95%. Trouxe um ecocardiograma recente que mostrou diâmetro ventricular esquerdo normal, aumento discreto de átrio esquerdo, hipertensão pulmonar discreta e FEVE = 62%.
O médico solicitou os seguintes exames a seguir:


Considerando as informações apresentadas no quadro, qual é o diagnóstico clínico para a paciente?
Provas
Leia o caso clínico que segue para responder às questões de 32 a 36.
Um jovem médico resolve fazer, pela primeira vez, um plantão noturno na emergência. Na madrugada, uma senhora de 75 anos, hipertensa e diabética dá entrada com queixa de dispneia e taquicardia. Ao exame clínico, observou-se FC = 122 bpm, PA = 140x90mmHg, ausculta pulmonar limpa, discreto edema de membros inferiores e Sat. O2 95%. Trouxe um ecocardiograma recente que mostrou diâmetro ventricular esquerdo normal, aumento discreto de átrio esquerdo, hipertensão pulmonar discreta e FEVE = 62%.
O médico solicitou os seguintes exames a seguir:


Em relação ao ECG,
Provas
Leia o caso clínico que segue para responder às questões de 32 a 36.
Um jovem médico resolve fazer, pela primeira vez, um plantão noturno na emergência. Na madrugada, uma senhora de 75 anos, hipertensa e diabética dá entrada com queixa de dispneia e taquicardia. Ao exame clínico, observou-se FC = 122 bpm, PA = 140x90mmHg, ausculta pulmonar limpa, discreto edema de membros inferiores e Sat. O2 95%. Trouxe um ecocardiograma recente que mostrou diâmetro ventricular esquerdo normal, aumento discreto de átrio esquerdo, hipertensão pulmonar discreta e FEVE = 62%.
O médico solicitou os seguintes exames a seguir:


De acordo com o RX de tórax da paciente, apesar da ausculta pulmonar limpa, ela apresenta
Provas
Leia o caso clínico que segue para responder às questões de 32 a 36.
Um jovem médico resolve fazer, pela primeira vez, um plantão noturno na emergência. Na madrugada, uma senhora de 75 anos, hipertensa e diabética dá entrada com queixa de dispneia e taquicardia. Ao exame clínico, observou-se FC = 122 bpm, PA = 140x90mmHg, ausculta pulmonar limpa, discreto edema de membros inferiores e Sat. O2 95%. Trouxe um ecocardiograma recente que mostrou diâmetro ventricular esquerdo normal, aumento discreto de átrio esquerdo, hipertensão pulmonar discreta e FEVE = 62%.
O médico solicitou os seguintes exames a seguir:


Qual é o diagnóstico para o eletrocardiograma?
Provas
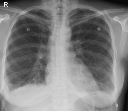
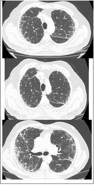
Leia o caso a seguir para responder às questões de 22 a 24.
Paciente 68 anos de idade, do sexo masculino, refere dispneia progressiva há 2 anos, inicialmente aos grandes esforços e atualmente aos pequenos esforços, associado com tosse seca frequente. Nega outros sintomas associados.
Ex-tabagista de 10 maços-ano, cessou o hábito há 20 anos.
Criou 2 pássaros em gaiola, em casa por 2 anos, cessou há 15 anos.
Trabalha em escritório de advocacia por toda a vida. Nega contato com mofo. Nega uso de medicações contínuas prévias ou atuais.
Ao exame em bom estado geral, leve dispneia, baqueteamento digital, IMC: 20, FR: 24irm, FC: 90 bpm, PA: 120x80mmHg, spO2 90% em ar ambiente. Ausculta pulmonar: estertores finos em velcro bibasais. Sem outras alterações.
Traz resultado de exame:
FAN negativo, FATOR REUMATÓIDE negativo
Espirometria: distúrbio ventilatório restrivo acentuado.
Tomografia de tórax: padrão típico de PIU (pneumopatia intersticial usual).

Qual é o tratamento indicado para esse paciente?
Provas
Leia o caso a seguir para responder às questões de 22 a 24.
Paciente 68 anos de idade, do sexo masculino, refere dispneia progressiva há 2 anos, inicialmente aos grandes esforços e atualmente aos pequenos esforços, associado com tosse seca frequente. Nega outros sintomas associados.
Ex-tabagista de 10 maços-ano, cessou o hábito há 20 anos.
Criou 2 pássaros em gaiola, em casa por 2 anos, cessou há 15 anos.
Trabalha em escritório de advocacia por toda a vida. Nega contato com mofo. Nega uso de medicações contínuas prévias ou atuais.
Ao exame em bom estado geral, leve dispneia, baqueteamento digital, IMC: 20, FR: 24irm, FC: 90 bpm, PA: 120x80mmHg, spO2 90% em ar ambiente. Ausculta pulmonar: estertores finos em velcro bibasais. Sem outras alterações.
Traz resultado de exame:
FAN negativo, FATOR REUMATÓIDE negativo
Espirometria: distúrbio ventilatório restrivo acentuado.
Tomografia de tórax: padrão típico de PIU (pneumopatia intersticial usual).

Qual é a melhor conduta para confirmar o diagnóstico desse paciente?
Provas
Leia o caso a seguir para responder às questões de 22 a 24.
Paciente 68 anos de idade, do sexo masculino, refere dispneia progressiva há 2 anos, inicialmente aos grandes esforços e atualmente aos pequenos esforços, associado com tosse seca frequente. Nega outros sintomas associados.
Ex-tabagista de 10 maços-ano, cessou o hábito há 20 anos.
Criou 2 pássaros em gaiola, em casa por 2 anos, cessou há 15 anos.
Trabalha em escritório de advocacia por toda a vida. Nega contato com mofo. Nega uso de medicações contínuas prévias ou atuais.
Ao exame em bom estado geral, leve dispneia, baqueteamento digital, IMC: 20, FR: 24irm, FC: 90 bpm, PA: 120x80mmHg, spO2 90% em ar ambiente. Ausculta pulmonar: estertores finos em velcro bibasais. Sem outras alterações.
Traz resultado de exame:
FAN negativo, FATOR REUMATÓIDE negativo
Espirometria: distúrbio ventilatório restrivo acentuado.
Tomografia de tórax: padrão típico de PIU (pneumopatia intersticial usual).

Qual é o diagnóstico mais provável para o paciente?
Provas
Caderno Container