Considere as imagens a seguir.
(Arquivo pessoal; imagens usadas com autorização)
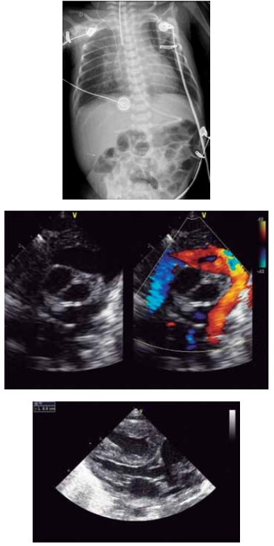
Qual é o diagnóstico provável da cardiopatia congênita ilustrada pela radiografia de tórax e a figura de ecocardiograma apresentadas desse recém-nascido?
(Arquivo pessoal; imagens usadas com autorização)
Qual é o diagnóstico provável da cardiopatia congênita ilustrada pela radiografia de tórax e a figura de ecocardiograma apresentadas desse recém-nascido?