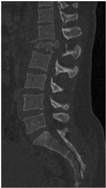
Paciente de 87 anos de idade relata dor na região lombar, em queimação, que irradia para membro inferior direito, associada a formigamento. A dor surgiu de forma súbita após o paciente desequilibrar-se e sofrer uma queda com impacto na região glútea. Desde então, a dor vem de forma contínua, sem fatores de melhora ou piora. Foi realizada uma ressonância magnética da coluna:

(Arquivo pessoal; imagem usada com autorização)
Diante dessa condição clínica, assinale a alternativa correta quanto à conduta a ser tomada.