Magna Concursos
3660278 Ano: 2025
Disciplina: Medicina
Banca: VUNESP
Orgão: FAMEMA
Provas:
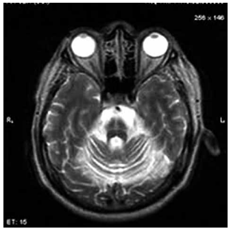
Homem de 68 anos apresenta lentificação progressiva dos movimentos, rigidez muscular e instabilidade postural há três anos. Inicialmente, o quadro foi interpretado como Parkinsonismo, mas a evolução clínica revelou pobre resposta à levodopa, quedas frequentes, disautonomia e sinais cerebelares. A ressonância magnética do encéfalo, a seguir, demonstrou atrofia do putâmen e do cerebelo, com hipersinal na ponte (hot cross bun sign).

Enunciado 4395455-1


(https://www.google.com/imgres?q=resson%C3%A2ncia%20 magn%C3%A9tica%20do%20enc%C3%A9falo%20demonstrou%20atrofia%20do%20put%C3%A2men%20e%20do%20cerebelo%2C%20com%20hipersinal%20na%20ponte%20(%22hot%20cross%20bun%20sign%22).&imgu rl=https%3A%2F%2Fwww.researchgate.net%2Fpublication%2F339576611% 2Ffigure%2Ffig1%2FAS%3A11431281117679215%401675512276380%2FF igura-1-Imagem-em-T2-na-ressonancia-magnetica-corte-axial-mostrando- -hipersinal-tanto_Q320.jpg&imgrefurl=https%3A%2F%2Fwww.researchgate. net%2Fpublication%2F339576611_Sinal_da_Cruz&docid=qZYJTk75i4lkqM &tbnid=Mdjz47V0DR57UM&vet=12ahUKEwjyuYfA582LAxXRr5UCHXtyI3Q QM3oECAkQAA..i&w=320&h=320&hcb=2&ved=2ahUKEwjyuYfA582LAxXRr 5UCHXtyI3QQM3oECAkQAA)


Diante desse quadro clínico, qual é o diagnóstico mais provável?
 

Provas

Questão presente nas seguintes provas

Médico - Neurologia

50 Questões