Magna Concursos
3698732 Ano: 2025
Disciplina: Medicina
Banca: VUNESP
Orgão: Pref. Campinas-SP
Provas:
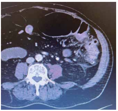
Paciente de 71 anos, sexo feminino, apresenta queixa de dor em hemiabdome esquerdo. Em bom estado geral, sem febre, vômito ou alterações do trato gastrointestinal. Ao exame físico, dor à palpação de flanco esquerdo com descompressão brusca interrogada.
Obteve-se a seguinte imagem na tomografia realizada na investigação:

Enunciado 4449355-1
(Arquivo pessoal; imagem utilizada com autorização)

Com relação ao caso, assinale a alternativa correta.
 

Provas

Questão presente nas seguintes provas

Médico - Coloproctologia

50 Questões