Magna Concursos
4069487 Ano: 2026
Disciplina: Radiologia
Banca: VUNESP
Orgão: UNIFIPA
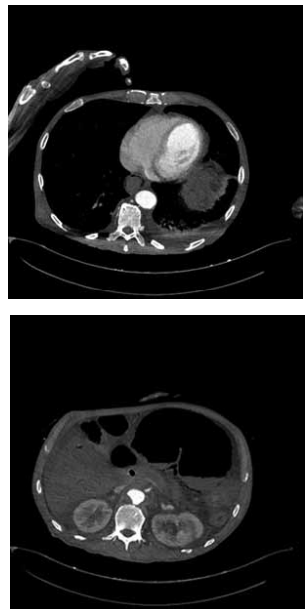
Paciente de 78 anos, hipertenso, tabagista, é admitido no pronto-socorro em choque séptico de instalação rápida, associado à dor abdominal súbita e distensão. Realizada tomografia computadorizada de abdome a seguir:


Enunciado 4560163-1



Qual o diagnóstico mais provável baseado na interpretação da imagem e no quadro clínico?
 

Provas

Questão presente nas seguintes provas