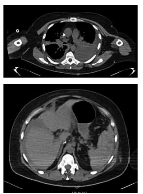
Mulher de 65 anos, com necessidade de toracocentese
de alívio por extenso derrame pleural à esquerda, que
causava dispneia. Realizada punção no 8o
espaço intercostal, linha axilar média, com saída de 20 mL de líquido serossanguinolento, sem saída adicional de líquidos.
Trinta minutos após o procedimento, a paciente evolui
descorada, com frequência cardíaca de 100 bpm e PA
de 85 x 60 mmHg, queixando-se de dispneia e dor abdominal. Realizou a tomografia demonstrada nas imagens
a seguir:
(Arquivo pessoal; imagem usada com autorização)
No retorno da tomografia, a paciente evolui com queda do nível de consciência, sendo realizada intubação orotraqueal. Assim, qual conduta mais adequada para resolução do caso?
(Arquivo pessoal; imagem usada com autorização)
No retorno da tomografia, a paciente evolui com queda do nível de consciência, sendo realizada intubação orotraqueal. Assim, qual conduta mais adequada para resolução do caso?
Provas
Questão presente nas seguintes provas