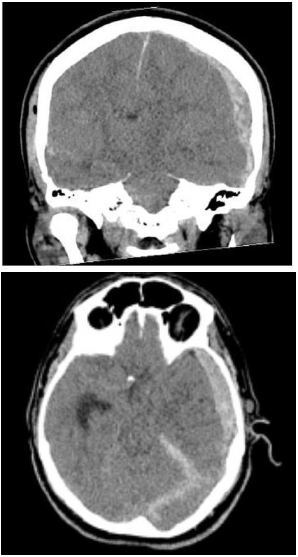
Paciente do sexo masculino, 23 anos, com quadro de traumatismo cranioencefálico após acidente automobilístico é levado para avaliação na emergência. Ao exame, apresentava Glasgow de 6. Foi realizada tomografia de crânio que mostrou o seguinte achado:

Quanto ao caso descrito e considerando o achado, é correto afirmar que