Paciente feminina, 38 anos, tabagista 2 anos/maço (esporádica), apresenta dispneia progressiva e já foi submetida a
dois procedimentos de drenagem pleural direita nos últimos
dois anos. Antecedentes pessoais: tumor muscular operado há 20 anos, sem diagnóstico histológico disponível no
momento. Ultrassonografia abdominal: nódulos renais.
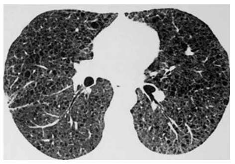
Tomografia de tórax atual a seguir:

(Arquivo pessoal; imagem usada com autorização)
Biópsia pulmonar videoassistida revelou alargamento dos espaços alveolares, cistos pulmonares, pequenos nódulos periarteriolares e perialveolares as custas de proliferação de musculatura lisa. Positividade para o anticorpo monoclonal HMB-45 e para a pesquisa de alfa-actina de músculo liso (a-SMA).
O diagnóstico e tratamento são, respectivamente:
Tomografia de tórax atual a seguir:

(Arquivo pessoal; imagem usada com autorização)
Biópsia pulmonar videoassistida revelou alargamento dos espaços alveolares, cistos pulmonares, pequenos nódulos periarteriolares e perialveolares as custas de proliferação de musculatura lisa. Positividade para o anticorpo monoclonal HMB-45 e para a pesquisa de alfa-actina de músculo liso (a-SMA).
O diagnóstico e tratamento são, respectivamente: