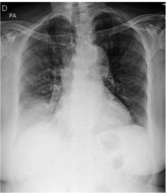
Analise a radiografia de tórax a seguir.

(Arquivo pessoal; imagem usada com autorização)
A radiografia apresenta a seguinte alteração compatível com o envelhecimento:
Analise a radiografia de tórax a seguir.

(Arquivo pessoal; imagem usada com autorização)
A radiografia apresenta a seguinte alteração compatível com o envelhecimento: