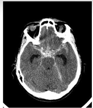
Assinale a alternativa correta em relação a imagem a seguir:
(Arquivo pessoal; imagem usada com autorização)
Corresponde à hemorragia subdural de provável etiologia traumática.
Corresponde ao sinal do Delta invertido relacionado a edema cerebral difuso.
Corresponde à hemorragia subaracnoidea de provável etiologia aneurismática.
Corresponde à hemorragia subaracnoidea de provável etiologia traumática.
Corresponde ao sinal do cerebelo branco relacionado a edema cerebral difuso.
Olá, para continuar, precisamos criar uma conta! É rápido e grátis.