- Anatomia e Fisiologia HumanaSistema Neurológico
- Patologia, Diagnóstico e Tratamento Radioterápico
- Protocolos de Exames de Medicina NuclearTécnicas Radiográficas em Tomografia Computadorizada
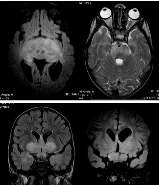
Criança de 03 anos de idade realizou ressonância magnética (RM) de crânio, apresentada a seguir, devido à queixa de cefaleia, associada a alterações visuais e baixa estatura.

(Arquivo pessoal; imagem usada com autorização)
Em relação aos achados das imagens, assinale a alternativa correta.
Provas
Questão presente nas seguintes provas