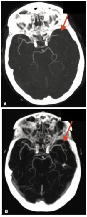
Nessa angiotomografia computadorizada de paciente com acidente vascular encefálico isquêmico agudo pode-se observar
oclusão na bifurcação da artéria cerebral média direita (seta vermelha da figura A) e recanalização completa após trombectomia (seta da figura B).
oclusão na bifurcação da artéria cerebral média esquerda (seta da figura A) e recanalização completa após trombectomia (seta da figura B).
oclusão na bifurcação da artéria cerebral anterior direita (seta vermelha da figura A) e recanalização completa após trombectomia (seta da figura B).
oclusão na bifurcação da artéria cerebral anterior esquerda (seta da figura A) e recanalização completa após trombectomia (seta vermelha da figura B).
oclusão na bifurcação da artéria cerebral anterior direita (seta da figura A) e recanalização incompleta após trombectomia (seta da figura B).
Olá, para continuar, precisamos criar uma conta! É rápido e grátis.