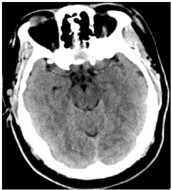
Uma mulher de quarenta anos de idade, obesa, hipertensa e tabagista, em uso irregular de hidroclorotiazida e anticoncepcional oral, compareceu ao pronto-socorro, queixando-se de cefaleia súbita de forte intensidade, iniciada há cerca de 12 h e associada a episódio de vômito. Refere que apresentou episódios semelhantes nas últimas duas semanas, de menor intensidade. Realizou a tomografia de crânio mostrada a seguir.

Internet: © 2017 Elliot K. Fishman, MD.
Com base nesse caso hipotético, assinale a alternativa que apresenta a conduta a ser adotada inicialmente.