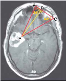
A imagem, obtida por tomografia computadorizada, revela a presença de um tumor cerebral no ponto A. O método de triangulação sobre essa imagem indica que as medidas dos ângulos A!$ \widehat{B} !$C e A!$ \widehat{C} !$B são, respectivamente, 80° e 60°.

(https://drbraindrop.wordpress.com)
Adotando-se tg 60º = m, tg 80º = n e utilizando-se a medida !$ \overline{BC} !$ de igual a !$ \mathcal{l} !$, a distância do ponto A ao segmento de reta !$ \overline{BC} !$ , indicada na figura por !$ \overline{AD} !$ , será igual a