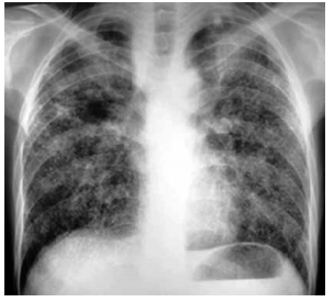
Paciente do sexo masculino, 42 anos, proveniente do
Ceará, procura atendimento médico por dispneia de longa data, mais intensa nos últimos 3 meses. Refere que
há 22 anos trabalha escavando poços de água potável.
Seu estado geral é bom, não há queixa de febre ou de
outros sintomas associados.
Analise a radiografia de tórax, ilustrada a seguir, e assinale a alternativa que contém a hipótese diagnóstica correta para o caso relatado.

Analise a radiografia de tórax, ilustrada a seguir, e assinale a alternativa que contém a hipótese diagnóstica correta para o caso relatado.
