Magna Concursos
3530604 Ano: 2024
Disciplina: Medicina
Banca: QUADRIX
Orgão: SES-SP
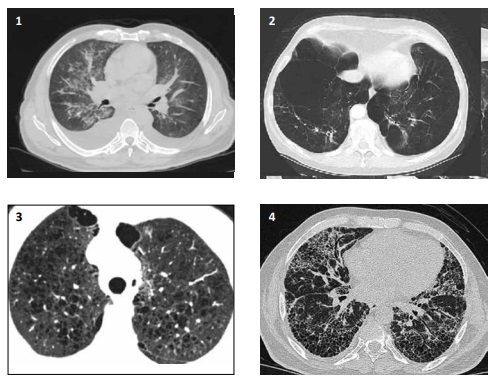
Correlacionar imagens tomográficas com quadro clínico.
A homem de meia idade, tabagista, dispneia progressiva aos esforços com meses de evolução, espirometria com vef1/cvf > 70, estertores predominando no final da inspiração ao exame físico
B mulher de 67 anos de idade, tabagista, tosse crônica, dispneia aos esforços, policitemia no hemograma, tempo expiratório prolongado, ausculta pulmonar com murmúrios vesicular reduzidos globalmente
C homem de 68 anos de idade, hipertenso mal-controlado, cardiopata, piora de dispneia, edema de membros inferiores, ortopneia, ausculta abolida em bases e estertores em ápice pulmonar
D jovem de 27 anos de idade, com antecedente de hepatopatia em investigação, com relatos de dispneia durante os esforços físicos, ausculta com murmúrios vesiculares diminuído em bases pulmonares
Enunciado 4079858-1
 

Provas

Questão presente nas seguintes provas

Residência em Medicina - Acesso Direto

100 Questões