Magna Concursos
3530812 Ano: 2024
Disciplina: Medicina
Banca: QUADRIX
Orgão: SES-SP

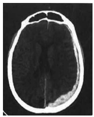
Considere-se esta imagem de uma lesão cerebral.

Enunciado 4131906-1

Com base nessa imagem, assinale a alternativa correta.

 

Provas

Questão presente nas seguintes provas