O trauma constitui uma das principais causas de mortalidade na Infância e adolescência, sendo o traumatismo crânio encefálico o trauma mais comum na infância.

Fonte: Disponível em: <https://www.clinicadralexandrecruzeiro.webnode.com.br/news> Acesso em: 18 nov. 2017.
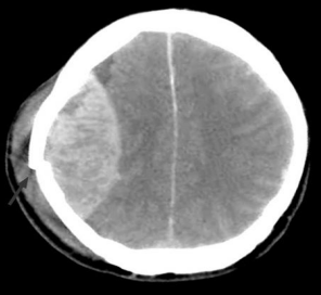
Adolescente, 13 anos, vítima de atropelamento por carro, apresentou perda da consciência, logo após o trauma , mas ao chegar a equipe de resgate, a criança estava alerta, ECG de 14, apresentando intensa cefaleia e discreta hemiparesia à esquerda. Após 2 h na sala de emergência, apresentou rebaixamento do nível de consciência e piora neurológica. Foi submetida à TC de crânio de urgência.
De acordo com a imagem, o diagnóstico dessa criança é: