
Internet: <https://laminoteca.wixsite.com>.
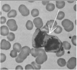
A imagem anterior foi obtida a partir de amostras de sangue coletadas em uma cena de crime para fins de isolamento de DNA. Várias células foram observadas, mas uma delas (indicada pela seta) apresentava um aspecto morfológico diferenciado.
Com base nessa imagem, julgue o item seguinte.
A célula indicada encontra-se em mitose na fase de prófase, que se caracteriza pelo desaparecimento da carioteca e espiralização do material genético.