Magna Concursos

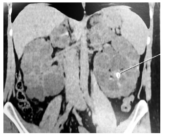
Observe a imagem de tomografia computadorizada a seguir.

Enunciado 4790283-1

A partir da imagem, e correto concluir que o diagnóstico é

 

Provas

Questão presente nas seguintes provas