Texto 18A03-III
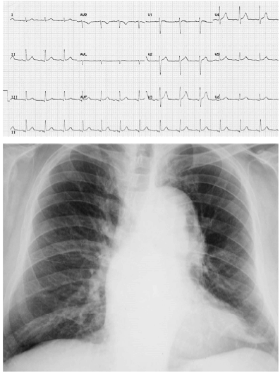
Um indivíduo de 32 anos de idade relatava dor torácica lancinante na parede anterior com irradiação para o dorso, de forte intensidade e sem alívio com analgésicos comuns havia seis horas. Ele possui antecedentes de subluxação do cristalino e ectasia dural lombosacral. Ao exame físico, encontrava-se sudorético e acianótico, com pressão arterial de 198 × 122 mm/Hg e frequência cardíaca de 92 bpm. Apresentava: pectus carinatum, ritmo cardíaco regular em dois tempos com sopro diastólico (++/4) no segundo espaço intercostal à direita, além de pulsos reduzidos em membros inferiores. O resultado da troponina ultrassensível e os exames laboratoriais de rotina foram normais. Realizou um eletrocardiograma e uma radiografia de tórax, que são mostrados a seguir.

Assinale a opção que corresponde a mais provável condição associada ao caso clínico apresentado no texto 18A03-III.