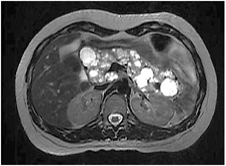
Paciente realiza ressonância magnética que individualiza múltiplas formações císticas pancreáticas conforme a imagem:

Podemos afirmar que o paciente tem maior risco de desenvolver as seguintes condições, EXCETO:
Provas
Questão presente nas seguintes provas
QOSPM - Médico/Radiologia e Ultrassonografia
80 Questões