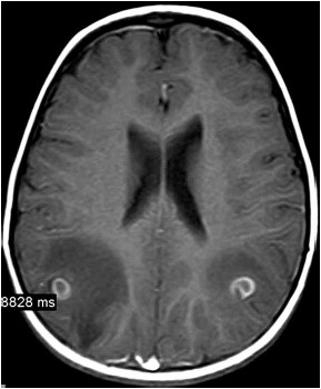
Homem de 45 anos apresenta o primeiro episódio na vida de convulsão focal seguida de generalização secundária. Não há comorbidade conhecida, trauma recente, febre ou algum sintoma sistêmico. Após o período ictal, a avaliação neurológica é normal. Não há febre e o exame físico não é contributivo. A ressonância magnética do encéfalo realizada é mostrada a seguir.

(Arquivo pessoal; imagem usada com autorização)
Considerando a principal hipótese diagnóstica, além de anticonvulsivante, a conduta inicial de escolha é