Magna Concursos
2839346 Ano: 2023
Disciplina: Medicina
Banca: PM-MG
Orgão: PM-MG

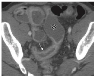
Homem de 29 anos de idade, tabagista, com emagrecimento significativo, dor no quadrante inferior direito do abdome e diarreia recorrentes, admitido no Pronto Atendimento em mal estado geral, 5 evacuações líquidas por dia, febre de 38,2ºC, dor intensa no quadrante inferior direito do abdome, anemia importante, leucocitose, proteína C reativa e calprotectina fecal aumentadas. Além disso, o exame físico revelou lesões compatíveis com eritema nodoso em membros inferiores.

A Figura 1 é representativa dos achados da tomografia computadorizada do abdome realizada na urgência.

Enunciado 3140149-1

Figura 1. Fonte: RadioGraphics 2018; 38:1352–1369

Para este paciente a melhor conduta É:

 

Provas

Questão presente nas seguintes provas

Oficial Médico - Clínica Médica

50 Questões