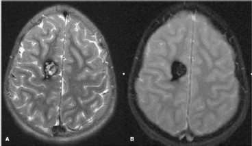
Paciente do sexo feminino, 40 anos de idade, comparece ao ambulatório de neurologia, referindo ter apresento, há 5 dias, crise convulsiva tônico-clônica, com início focal no membro inferior esquerdo e generalização secundária. Apresentou a ressonância magnética a seguir.

A sua primeira hipótese da etiologia desse caso é: