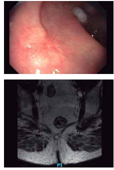
Paciente de 47 anos, assintomática, realiza colonoscopia de rastreamento. É identificada lesão em reto. A biópsia endoscópica é inconclusiva, mas a análise imunohistoquímica mostra positividade para cromogranina A e sinaptofisina.

(Arquivo pessoal; imagens utilizadas com autorização)
O diagnóstico mais provável é: