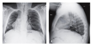
Paciente masculino de 25 anos de idade com achado
incidental em radiografia de tórax (CXR). Diante de tal caso,
o diagnóstico mais provável é:


Provas
Questão presente nas seguintes provas
Médico - Radiologia/Angiotomografia e Ecografia
60 Questões