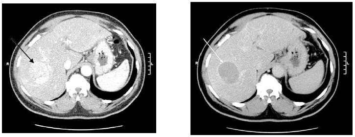
Homem de 63 anos, com história de cirrose por hepatite viral C, apresenta em exame de rotina três nódulos hepáticos que têm as mesmas características de realce à tomografia de abdome trifásica, dois deles no lobo esquerdo e um no direito. Essas lesões medem 2,1 cm, 2,3 cm e 4,7 cm, estando esta última representada no exame abaixo. Não há sinais tomográficos de trombose portal ou acometimento extra-hepático. Seu escore de Child é A (6 pontos), e seu Performance Status é 0. Sobre esse caso clínico, assinale a alternativa correta entre as abaixo.

Provas
Questão presente nas seguintes provas