Magna Concursos
2866519 Ano: 2023
Disciplina: Medicina
Banca: VUNESP
Orgão: Pref. Sertãozinho-SP
Provas:

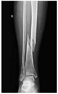
M.W.C., feminino, 87 anos. Após queda da própria altura, passou a apresentar dor e impossibilidade para caminhar. A radiografia do membro inferior direito é mostrada a seguir.

Enunciado 3046429-1

Assinale a alternativa correta.

 

Provas

Questão presente nas seguintes provas

Médico - Geriatria

40 Questões