Magna Concursos
417980 Ano: 2017
Disciplina: Odontologia
Banca: CESPE / CEBRASPE
Orgão: TRE-BA

enunciado 417980-1

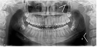
Assinale a opção que corresponde aos pontos anatômicos identificados pelos numerais de 1 a 4 na imagem radiográfica apresentada.

 

Provas

Questão presente nas seguintes provas

Analista Judiciário - Odontologia

60 Questões