Magna Concursos
3103606 Ano: 2024
Disciplina: Medicina
Banca: Darwin
Orgão: Pref. Santa Cruz Capibaribe-PE
Provas:
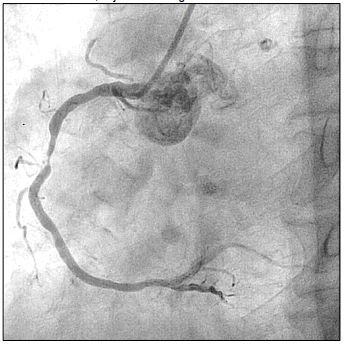
Paciente de 66 anos, relata queixa de dor torácica em aperto. Procura atendimento médico onde realiza ECG que evidencia IAM com supra de ST. Então, é levada à hemodinâmica onde é realizado o exame, cujo achado segue abaixo: 



Enunciado 3103606-1


Em relação à anormalidade evidenciada, assinale a alternativa que apresenta a coronária acometida.
 

Provas

Questão presente nas seguintes provas

Médico - Cardiologia

40 Questões