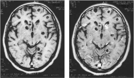
Um homem de 38 anos foi admitido na emergência com 3 episódios de crises convulsivas nos últimos 4 dias. Ao ser examinado, ele não
apresentava déficits focais ou rigidez de nuca. O paciente nega hipertensão, Diabetes Mellitus e alergias. A Ressonância Nuclear Magnética de crânio com e sem contraste evidenciou as imagens a seguir.

Assinale a alternativa que apresenta o diagnóstico provável.