Magna Concursos
2999598 Ano: 2023
Disciplina: Radiologia
Banca: FGV
Orgão: Pref. São José dos Campos-SP
Provas:
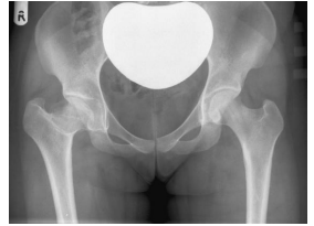
A proteção gonadal em radiografias de quadril e fêmur é um item muito importante da proteção radiológica.


Enunciado 3332929-1



Baseado na imagem abaixo, assinale a afirmativa correta.
 

Provas

Questão presente nas seguintes provas

Técnico de Radiologia

60 Questões