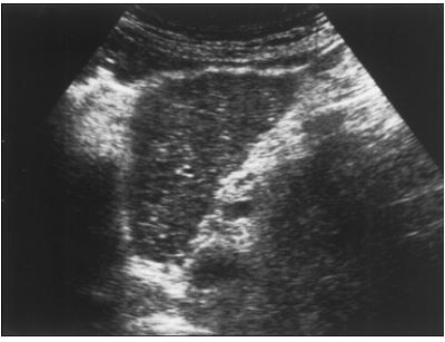
Mulher com 62 anos teve diagnóstico de hepatite C crônica e relata história de hemotransfusão em 1990. Trazia ultrassonografia de abdome (foto: plano longitudinal em região epigástrica) e elastografia hepática transitória (Fibroscan®) com resultado 9,5 kPa. Qual alternativa é correta sobre o caso?

Provas
Questão presente nas seguintes provas