
Internet:<https://imagebank.hematology.org/collection/60570>.
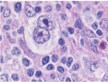
Um adolescente de 15 anos de idade apresenta linfadenopatia cervical indolor há 2 meses, acompanhada de febre noturna, perda de peso de 5 kg e sudorese profusa. No exame físico, os linfonodos são fixos, duros e indolores. A radiografia de tórax revela uma massa mediastinal.
Conforme a imagem da biópsia do linfonodo, bem como os achados histopatológicos, assinale a alternativa que apresenta o diagnóstico mais provável.