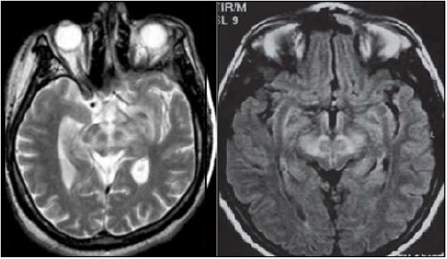
As imagens são tomografias computadorizadas no plano axial, em T2 e flair, com um achado característico que chama
a atenção; analise-as.

(Disponível em: https://cachorroidiota.files.wordpress.com/2012/08/2.png e Barra FR, Gonçalves FG, Matos VL, Jovem CL, Mendonça JLF, Amaral LLF, delCarpio-O’Donovan R. Sinais em neurorradiologia – Parte 2. Radiol Bras. 2011 Mar/Abr;44(2):129–133.)
Qual a patologia mais comumente relacionada ao achado nas imagens anteriores?

(Disponível em: https://cachorroidiota.files.wordpress.com/2012/08/2.png e Barra FR, Gonçalves FG, Matos VL, Jovem CL, Mendonça JLF, Amaral LLF, delCarpio-O’Donovan R. Sinais em neurorradiologia – Parte 2. Radiol Bras. 2011 Mar/Abr;44(2):129–133.)
Qual a patologia mais comumente relacionada ao achado nas imagens anteriores?
Provas
Questão presente nas seguintes provas
Técnico Nível Superior I - Médico Radiologista
30 Questões