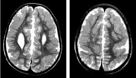
Paciente com atraso global do desenvolvimento e epilepsia. Na investigação foi realizada a ressonância magnética de crânio a seguir.

A achado de imagem sugere
Paciente com atraso global do desenvolvimento e epilepsia. Na investigação foi realizada a ressonância magnética de crânio a seguir.

A achado de imagem sugere