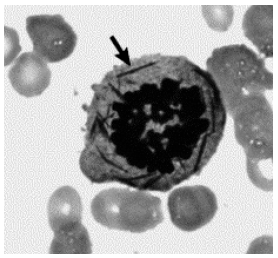
Leucemias são tipos de cânceres que têm início na medula óssea e vários são os tipos de leucemias descritas na literatura, acometendo grande parte dos tipos celulares sanguíneos ou alguns tipos celulares específicos. Durante o exame normal do hemograma, é possível verificar a presença de algumas características laboratoriais que podem ser indicativas da presença dessa doença.
A seguir, é apresentada uma célula com alteração típica de um tipo de leucemia.

Com relação à imagem apresentada, assinale a alternativa correta.