
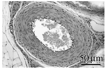
Com base no corte histológico mostrado na figura acima, julgue os itens a seguir.
esquerda na figura pode ser observado o corte longitudinal de tecido nervoso com aproximadamente 20 :m de diâmetro.

Com base no corte histológico mostrado na figura acima, julgue os itens a seguir.
esquerda na figura pode ser observado o corte longitudinal de tecido nervoso com aproximadamente 20 :m de diâmetro.