Magna Concursos
2781483 Ano: 2023
Disciplina: Medicina
Banca: VUNESP
Orgão: Pref. Pindamonhangaba-SP

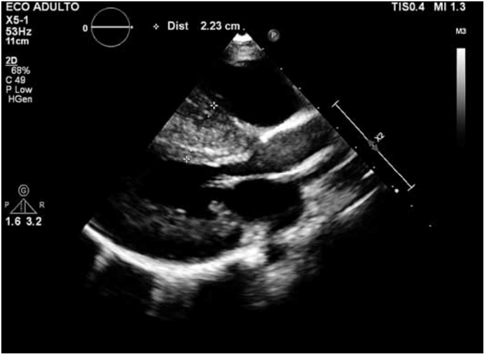
Paciente de 4 anos, masculino, deu entrada no pronto-socorro com cansaço progressivo. Realizou radiografia de tórax, eletrocardiograma e ecocardiograma (figura a seguir).

Enunciado 3561506-1

O diagnóstico que se pode dar a esse paciente é

 

Provas

Questão presente nas seguintes provas

Médico - Cardiologia Pediátrica

40 Questões