Em pacientes com infarto com supara de ST inferior, com oclusão da coronária direita e seus ramos, encontramos
com certa frequência bloqueios avançados.
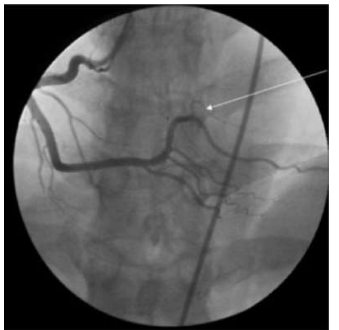
Qual é a artéria assinalada na seguinte figura, considerando essa incidência oblíqua anterior esquerda?

Qual é a artéria assinalada na seguinte figura, considerando essa incidência oblíqua anterior esquerda?
