Magna Concursos
2866517 Ano: 2023
Disciplina: Medicina
Banca: VUNESP
Orgão: Pref. Sertãozinho-SP
Provas:

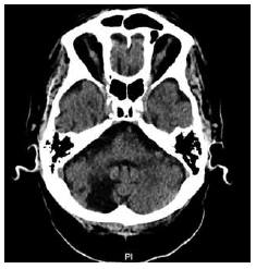
S.R.A., masculino, 84 anos, procura o ambulatório com queixas de tonturas que se iniciaram de forma súbita. As tonturas caracterizam-se por serem do tipo rotatórias associadas à turvação visual. Não há queixas de náuseas e vômitos, zumbidos nos ouvidos, escurecimento da vista, perda da consciência, convulsões e liberação esfincteriana. Entretanto, havia quedas frequentes conforme caminhava. Ao exame físico, nenhuma alteração foi observada exceto um nistagmo horizontal que se acentuava ao olhar para a direita. O paciente realizou uma tomografia computadorizada de crânio, mostrada a seguir:

Enunciado 3046427-1

Assinale a alternativa contendo o diagnóstico correto.

 

Provas

Questão presente nas seguintes provas

Médico - Geriatria

40 Questões