Magna Concursos
3368300 Ano: 2024
Disciplina: Radiologia
Banca: DIRENS Aeronáutica
Orgão: CIAAR
Provas:

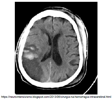
Analise a imagem a seguir.

Enunciado 3843193-1

A lesão isquêmico-hemorrágica presente nessa imagem foi determinada por injúria de qual artéria?

 

Provas

Questão presente nas seguintes provas

CAMAR - Medicina/Radiologia

60 Questões