Magna Concursos
2897270 Ano: 2023
Disciplina: Medicina
Banca: VUNESP
Orgão: UNICAMP
Provas:

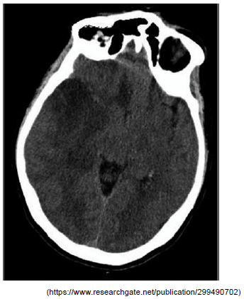
Homem, 51 anos, previamente hígido. Admitido na emergência com queixa de cefaleia bitemporal, pulsátil, início súbito, intensidade moderada e associada a fotofobia e náuseas, com início há cerca de 8 horas. Exame físico: 38,1°C de temperatura corporal, ausência de sinais meníngeos, ausência de sinais neurológicos localizatórios. Durante a observação, evoluiu com agitação psicomotora e confusão mental. Realizada tomografia de crânio sem contraste (a seguir) e coleta de líquor: límpido, pressão inicial 20 mmHg, 3 792 leucócitos, predomínio de mononucleares, glicorraquia normal e proteinorraquia de 120 mg/dL.

Assinale a alternativa que contempla corretamente o diagnóstico desse paciente.

Enunciado 3162027-1

 

Provas

Questão presente nas seguintes provas

Médico - Neurologia

40 Questões